产品中心
Products
免疫组织化学(IHC)
奥林匹斯之门 pp电子奥林匹斯之门突变及甲基化检测
荧光原位杂交(FISH)
原位杂交(ISH)
免疫荧光(IF)
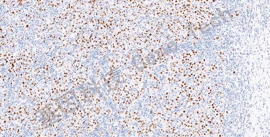
黑色素瘤优先表达抗原(PRAME)抗体试剂(免疫组织化学法)
浏览次数:2220 发布时间:2022-11-16
| 沪闵械备20230026 | ||
| 克隆号:EPR20330 | 种属:兔 | 适用染色系统:GTvisionTM |
| 预处理:高pH热修复 | 阳性部位:细胞核 | 阳性对照:黑色素瘤 |
| 简介:Prame是肿瘤一睾丸抗原(Cancertestis Antigen,cTA)家族成员之一,最早由Ikeda从黑色素瘤细胞中分离而出,能够被HLA—A24分子递呈给细胞毒性T淋巴细胞(cytotoxic Tlymphocytes,CTL)。PRAME在正常组织中的表达限于睾丸、卵巢和肾上腺等。在正常组织中表达的局限性及在肿瘤组织中的高表达,被认为是肿瘤免疫治疗理想的靶标。 | ||
![]() | ||
| 黑色素瘤石蜡切片,用 Prame(GT2466)染色,细胞核阳性,DAB 显色。 | ||
| 货号 | GT246602 | GT2466027 |
| 规格 | 2.0mL | 7.0mL |


